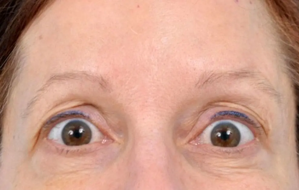
65 year-old female who underwent upper blepharoplasty for dermatochalasis of the upper eyelids
Blepharoplasty
Before and After Photos
Surgeries performed by Dr. Tina Ho
View 1 of 11
View 2 of 11
View 3 of 11
View 4 of 11
View 5 of 11
View 6 of 11
View 7 of 11
View 8 of 11
View 9 of 11
View 10 of 11
View 11 of 11
